Tendovaginitis des M. abductor pollicis longus - OP
Seit Monaten zeigte die Hündin „Emma“ eine therapieresistente Lahmheit der rechten Vordergliedmaße mit zunehmender derb-harter Schwellung medial am Karpalgelenk.
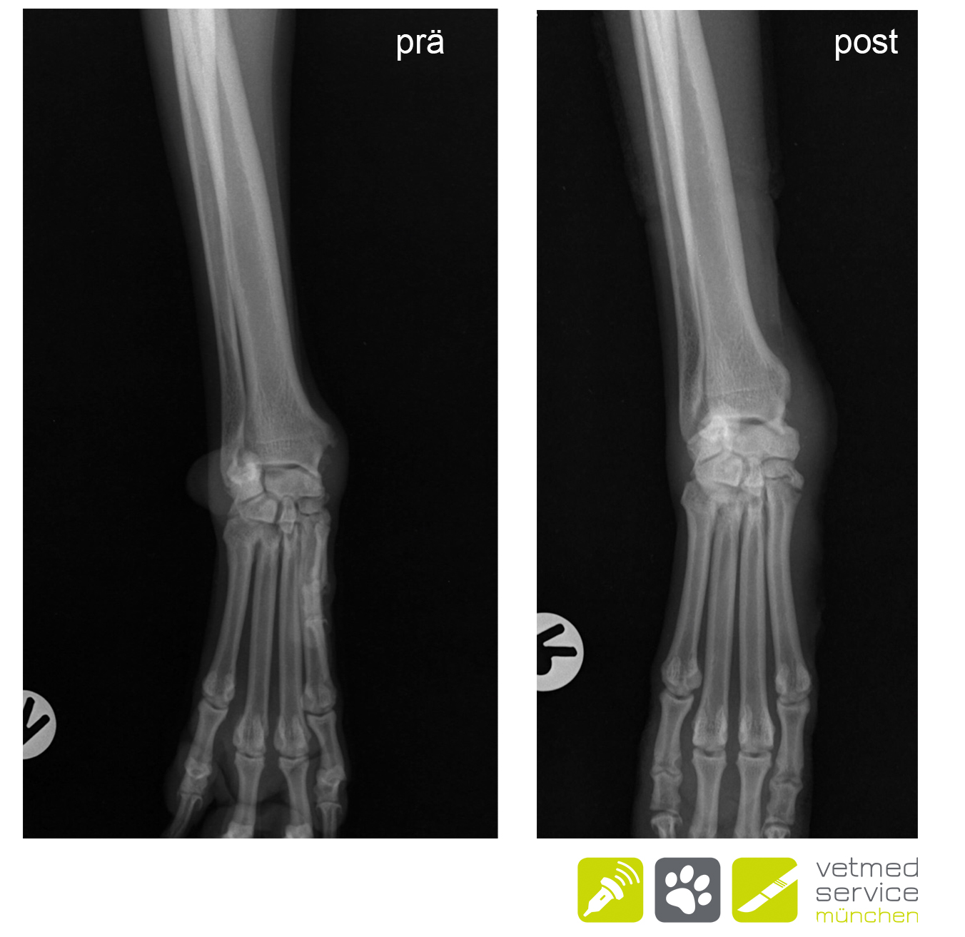
Röntgenologisch zeigten sich Exostosen am medialen Karpus. Das typische Bild einer Tendovaginitis des M. abductor pollicis longus. Da die konservativen Versuche erfolglos blieben, wurde bei „Emma“ eine operative Therapie durchgeführt. Wir haben die Phalanx I amputiert , die Sehne des M. ext. dig. longus freigelegt diese am Übergang zum Muskelbauch abgesetzt, sowie die Exostosen abgetragen. „Emma“ lief bereits kurze Zeit nach der OP lahmheitsfrei und ist es bis heute (7 Monate post OP)

Im Februar 2019 habe ich zu diesem Thema bereits einen Artikel bei Facebook eingestellt. Hier nochmal die Basics für Sie:
"Meinst du das könnte ein Knochentumor sein und machst du auch Knochenbiopsien?" - Eine berechtigte Frage, beim ersten Blick auf das beigefügte Röntgenbild, denn die röntgenolgischen Veränderungen dieser Erkrankung können an ein Osteosarkom erinnern. Aber es handelt sich um eine Tendovaginitis des M. abductor pollicis longus💡. Obwohl der "Daumen" des Hundes beim Laufen gar nicht wirklich belastet wird, kommt eine chronische Entzündung dieser Sehnenscheide immer wieder vor und führt zu einer chronisch rezidivierenden Lahmheit und zu einer halbkugeligen Schwellung am kraniomedialen Antebrachium. Die röntgenologisch sichtbaren Metaplasien können dem Bild eines Osteosarkoms ähneln. Vergleichende Röntgen der Gegenseite helfen bei der Beurteilung. Falls eine Therapie mit NSAIDs nicht zielführend ist, kann bei schweren Fällen eine Amputation der ersten Zehe und Entfernung der Metaplasien sinnvoll sein.
BTW - Knochenbiopsien bietet der vetmed service bei entsprechender Indikation natürlich an 😉.
